By IDSE News Staff

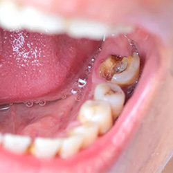
A new study highlights the potential of a natural compound from maple to combat Streptococcus mutans, the bacteria responsible for tooth decay. The compound, epicatechin gallate, would be a safe alternative to traditional plaque-fighting agents (Microbiol Spectr 2025 Aug 7. doi:10.1128/spectrum.00693-25).


Its natural abundance, affordability and lack of toxicity make epicatechin gallate especially promising for inclusion in oral care products such as mouthwashes, offering a safer option for young children, who often accidentally swallow mouthwash, according to the study.

The new study emerged as an offshoot of research into natural compounds that inhibit biofilm formation in Listeria monocytogenes, a foodborne pathogen. The researchers made an unexpected observation that Listeria readily forms biofilms on plant materials, including most wood, but seems to avoid certain types, especially maple. This piqued the researchers’ curiosity. They isolated polyphenolic compounds from maple that inhibit Listeria attachment and biofilm formation; they found that when sortase A, an enzyme that anchors adhesins to the bacterial cell wall, is inhibited, these adhesins cannot anchor, impairing the ability of Listeria to attach to surfaces and form biofilms. 

That discovery led the researchers to investigate whether similar mechanisms exist in related bacteria. Sortase A in Streptococcus species, which is related to Listeria in the Bacillota phylum, turned out to be quite similar. One species in particular, S. mutans, stood out because it causes dental caries.

“Since S. mutans initiates cavities by forming biofilms (plaques) on teeth and producing acid that destroys tooth enamel, we asked: ‘Could maple polyphenols also inhibit S. mutans biofilms?’ That question drove this study,” said corresponding study author Mark Gomelsky, PhD, the Martha Gilliam Professor of Microbiology and the director of the Microbiology Program at the University of Wyoming, in Laramie.

The researchers first used computer modeling to determine that maple polyphenols could bind to the sortase A enzyme from S. mutans. Next, they purified the sortase A in the laboratory and confirmed that these compounds inhibit its activity in a test tube. Finally, they assessed whether maple polyphenols block S. mutans from forming biofilms on plastic teeth and on hydroxyapatite disks—a stand-in for real tooth enamel—and discovered they worked there, too.

“We discovered that several polyphenols present in maple wood or maple sap can inhibit the sortase enzyme in S. mutans, which, in turn, prevents this cavity-causing bacterium from attaching to tooth surfaces,” Dr. Gomelsky explained. Interestingly, the most potent inhibitor was (-)-epicatechin gallate (ECG), a compound also present in green and black tea, although in much higher amounts in tea than in maple sap. Drinking green tea has long been associated with lower rates of cavities, and its main polyphenol, (-)-epigallocatechin gallate (EGCG), has been used in dental products. The researchers found EGCG does inhibit S. mutans biofilms, but it’s not nearly as effective as ECG. This raises the intriguing possibility that the moderate effects seen with EGCG-based dental products may be due to using the suboptimal compound, instead of the more potent ECG.

“Our findings suggest that ECG or other edible polyphenols with anti-sortase activity could be added to dental products to help prevent cavities through an antibiofilm mechanism,” Dr. Gomelsky said. “This is different from traditional approaches, which rely on killing bacteria with alcohol, disinfectants or essential oils, or on fluoride to remineralize enamel. The antibiofilm approach using edible polyphenols is especially appealing for young children. For example, young children can’t use conventional mouthwashes because they might swallow them and risk toxicity. A safer alternative, such as a mouthwash containing an effective dose of an edible polyphenol, could provide protection without harmful side effects.”

Dr. Gomelsky said they are actively developing plant polyphenol-based dental products through a startup founded by University of Wyoming students and the first author of this study, Ahmed Elbakush, PhD.