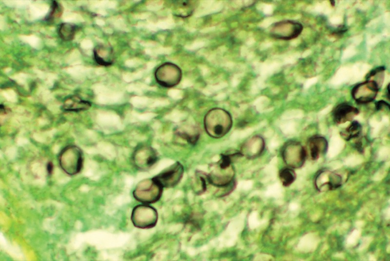
A more nuanced, dual-threshold approach based on a patient’s risk profile can improve the use of a noninvasive assay for Pneumocystis jirovecii pneumonia (PJP), according to the results of a recent study.
Early diagnosis and timely treatment of PJP is crucial but challenging, particularly among HIV-negative patients who may have atypical presentations and a broad list of differential diagnoses. Noninvasive tests, such as the (1→3)-beta-D-glucan (BDG) assay (Fungitell, ACC), offer an attractive alternative to invasive strategies that may be contraindicated or risky in some patients, but the manufacturer-recommended cutoff of 80 pg/mL is not well validated for PJP. In addition, the 80-pg/mL cutoff was derived originally from two studies of different invasive fungal infections in a predominantly HIV-negative population, according to the study.
Investigators from McGill University, in Montreal, conducted a systematic review and meta-analysis of the literature to determine the diagnostic test accuracy of the BDG assay across all reported cutoffs (Clin Microbiol Infect 2025;31[4]:542-550). The primary goal was to evaluate the benefit of a categorical approach of using rule-in/rule-out thresholds for PJP diagnosis.
Data Support New Upper Cutoff for PJP
A total of 26 studies were included in the review, comprising 5,111 patients and 1,150 cases of PJP; 17 studies involved patients regardless of HIV status, four with only people with HIV (PWH) and five without HIV.
Overall, 34 unique cutoffs were included in the meta-analysis. The pooled sensitivity and specificity for the manufacturer’s cutoff of 80 pg/mL were 83.5% (95% CI, 72.8%-90.6%) and 75.5% (95% CI, 66.0%-83.0%), respectively. At a cutoff of 400 pg/mL, the pooled sensitivity decreased to 63.5% (95% CI, 45.8%-78.1%), but the pooled specificity increased to 93.6% (95% CI, 88.6%-96.5%).
In the analysis, the investigators also calculated that post-BDG probability of PJP as a function of the pretest probability, which incorporated clinical, radiographic and laboratory findings. They found that a BDG result of less than 80 pg/mL, coupled with a pretest probability of 19.5%, yielded a negative predictive value of more than 95%. With a pretest probability of more than 47.5%, a BDG result of 400 pg/mL or greater yielded a positive predictive value above 90%.
“BDG and its 80-pg/mL or lower threshold are well established in the literature and by the manufacturer as a rule-out cutoff. We were impressed by the potential utility of a 400-pg/mL or greater threshold as a rule-in cutoff at high pretest probabilities,” lead investigator Connor Prosty, MD, CM, a resident in internal medicine at McGill University, told Infectious Disease Special Edition.
Similar findings were observed on subgroup analyses of PWH and those without HIV.
“The 400-pg/mL or greater rule-in threshold would offer the most benefit in patients for whom invasive diagnostic procedures are high risk, such as those with respiratory failure who cannot safely undergo bronchoscopy,” Dr. Prosty added. “In such cases, when the pretest probability exceeds 47.5% and the post-test probability surpasses 90%, [this could] potentially allow clinicians to avoid invasive testing. This cutoff could, therefore, support a faster and safer diagnosis.”
A Personalized Test
Stacy G. Beal, MD, a clinical associate professor in the Department of Pathology, Immunology and Laboratory Medicine at the University of Florida College of Medicine, in Gainesville, who was not involved in the study, agreed that the dual-threshold approach is clinically valuable.
“BDG is not a one-size-fits-all test,” she told IDSE. “Its interpretation should be contextual, based on pretest probability. Using 80 pg/mL or lower to rule out and 400 pg/mL or greater to rule in PJP creates a clearer decision-making framework based on the patient’s risk profile.”
She added: “Improved specificity at high cutoff means fewer false positives, which is critical in immunocompromised populations where overtreatment can carry significant risks.”
Drs. Beal and Prosty reported no relevant financial disclosures.
This article is from the June 2025 print issue.


